Case #1
Patient always knew that his teeth were undersized and that there was space between my upper teeth. Over the years, it made him feel self conscious so he connected with our practice, hoping that a treatment could give him more confidence in his personal and professional life.
“From the onset, I felt like he was in great hands,” wrote the patient in a thank you letter to our staff. He described the experience as educational and detail oriented. Dr. Mingos & his staff assembled a detailed plan that they executed efficiently.
“Throughout the entire process, they put my mind at ease through their depth of knowledge, check-ins and chairside care. My procedure included 8 porcelain crowns and whitening. Even when the temps were put in, I knew I had made the right choice.”


Case #2
Patient wanted a more youthful smile. The current anterior bridges showed spaces between the teeth and gums, a.k.a. “black triangles.” New bridges or implants and crowns were discussed as the best options. The fastest option was to place new bridges. After placement, the patient was happy to have a fuller, younger smile.
Case #3
Patient wanted to cosmetically enhance her smile. The first option was orthodontics, which would have taken two years and was unacceptable for this patient’s timeframe. The second option, bonding, was not chosen because longevity and durability would be in question. The third option was porcelein jackets. This option provided the patient with whiter and straight teeth in just two weeks. The patient was thrilled with the results.
Case #4
A new patient to our office had a previous root canal treatment that was unsuccessful. The patient wanted a permanant, fixed replacement option and did not want to have adjacent teeth reduced to place a bridge. The patient opted to do the treatment of choice: an implant. We restored the implant with a crown. The patient was happy with his work.
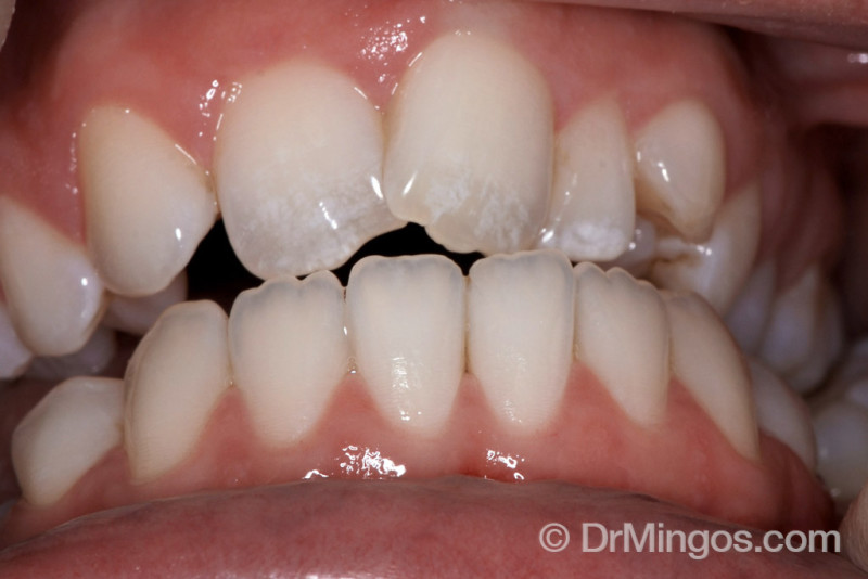
Case #5
Patient was unhappy with the space between her front teeth. After discussing seeking orthodontic treatment or having corrective crowns placed, patient decided on porcelain jacket crowns. The crowns were completed in two weeks and the patient was very pleased with the natural-looking results.
Case #6
Patient had previous orthodonic care, but did not wear her retainer. Consequently, her teeth had moved which would continue to get worse as she gets older. She did not want to wear braces again. We were able to fabricate six veneers which gave her a whiter smile, along with straighter and properly shaped teeth. The patient was very pleased with her new smile.









